FOGÁSZATI BEAVATKOZÁSOK
Esztétikai fogászat
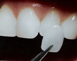
A frontfogakat érintő esztétikai problémák esetén, ahol még nem feltétlenül szükséges nagyobb preparálást igénylő koronák készítése, a héjak nyújthatnak tökéletes megoldást.
A rések, elszíneződések, nagymértékű kopások vagy több felszínt érintő tömések tökéletes elfedéséhez és megerősítéséhez alkalmazzuk a front régióban.
Direkt héj
A direkt héj – a kerámia héjhoz és koronához hasonlóan – egy egészen vékony, mégis terhelhető fogszínű héj, amely csak különleges minőségű tömőanyagokból készülhet rétegezési technikával. Nagy előnye, hogy azonnali megoldást nyújt és nem igényel fogtechnikai laboratóriumi közreműködést.



